연세대 치과대학
치의학박사
문원규 대표원장
치의학박사
문원규 대표원장
연세대 치과대학
김영원 대표원장
김영원 대표원장
-
- 증상별 치아교정


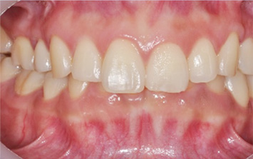
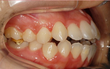
윗니가 아랫니를 과도하게 덮고 있는 과개교합 환자분. 과개교합의 경우 윗니가 아랫니에 가해지는 힘과 압력이 있어 턱 관절 및
근육 손상이 되기 때문에 반드시 교정치료가 필요합니다. 환자분의 경우도 아래 앞니 윗면이 닳아 있고 치아가 시린 상태. 클리피씨와 미니
스크류를 이용하여 위 치열 후방이동 하는 교정을 진행하였습니다.






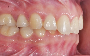
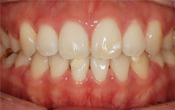
위 치열 후방이동으로 앞니의 치아 물림이 개선되었고, 앞니의 시림 증상도 사라졌습니다. 과개교합의 경우 환자 스스로 눈치 채지 못하는 경우가 많고,
사각 턱 안모가 동반되는 경우가 많기 때문에 꼭 정밀 검사를 받아보는 것이 좋습니다.
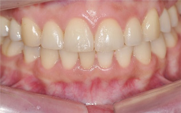
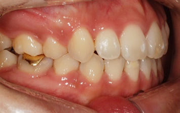
앞니가 정상적으로 물이지 않아 심미적인 문제와 음식물을 섭취할 때 상당한 불편함을 느껴 내원한 환자.
고운미소에서는 교정용 와이어와 미니스크류를 사용하여 치열의 수직적인 문제를 개선하는 치아교정을 시행하였습니다.






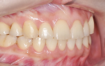
앞니가 서로 물리게 되어 음식물을 씹는 저작 문제와 심미적인 문제가 해결되어 교정을 완료하였습니다.
