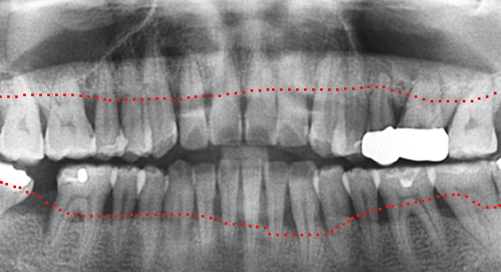
연세고운미소치과는 치아가 흔들린다고 무조건 임플란트를 하지 않습니다. 치조골 상태에 따라 치주치료,
고 난이도 보존치료를 시행합니다. 또한 심각한 충치나 치아 파열로 인하여 발치 된 경우도 상황에 따라 인접치아를 움직여 공간을 닫는
교정치료로 치아를 최대한 살리는 방법을 우선 고민합니다.
치조골이 절반만 남아있어도 치주치료를 통하여 자연치아를 살릴 수 있습니다. 타치과에서 임플란트 수술을 진단받은 경우에도
고운미소치과에서는 임플란트 수술을 안받고 치료가 가능하거나, 생각보다 훨씬 적은 수의 임플란트를 식립 하는 경우가 상당히 많습니다.




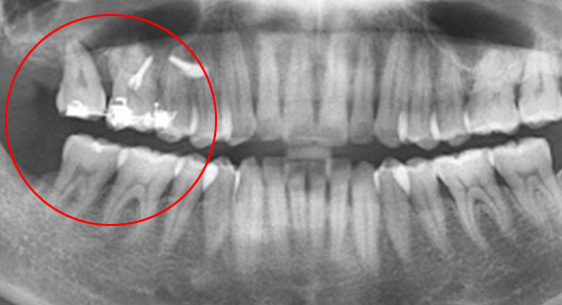
신경관이 막혀 있는 경우 재 신경치료로 낫지 않는 경우, 포스트가 있어 재 신경 치료를 할 수 없는 경우, 치아 뿌리까지 염증이 심하지만 이러한 염증을
제거 할 수 없는 경우, 고운미소 치과에서는 치조골 주위 염증조직을 제거하는 치근단절제술을 시행합니다.
기존 신경치료는 양호한 상태이나 치근부위에 염증과 치조골 소실이 진행 중
치아 뿌리 쪽 잇몸을 절개하고 치조골 부위의 염증조직을 제거. (난이도 중)
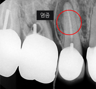
충치가 심해져 세균이 이 신경관까지 침투하면 심한 통증과 함께 염증이 생기고 치아뿌리까지 염증이 내려와 치아가 흔들리고 최후에는
치아를 잃게 됩니다. 그렇게 되기 전에 오염된 신경관을 치료하고 생체친화적 치과재료로 신경관을 채워주는 근관치료(신경치료)를 시행합니다.
지속적인 통증과 잇몸염증
기존 포스트 제거 후 근관내 약재 삽입
재 신경치료(난이도 상)
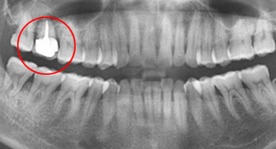
심한 염증으로 치조골이 광범위하게 소실, 아래쪽 신경관이 가까이 있어 치근단수술이 불가능한 상태, 타 병원에서 임플란트 진단을 받았지만,
고운미소치과에서 치아를 발치하고 뿌리 쪽 염증을 제거한 후 발치한 치아를 다시 심는 치아재식술을 시행하였습니다.
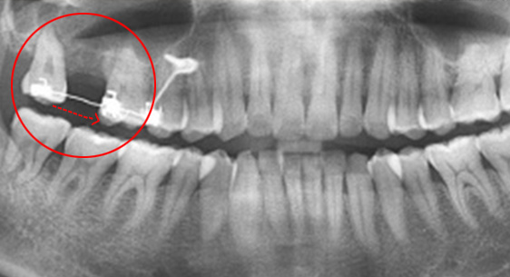
기존 신경치료 부위에 염증과 치조골이 소실되고 있는 상태
치아를 발치하고 염증을 제거, MTA로 충전하고 치아를 다시 심음. (난이도 최상)
대부분의 치과에선 빼야하는 치아가 있거나 이미 빠졌거나, 신경 치료 후 예후 불량으로 인해 치아를 살릴 수 없는 경우 임플란트를 먼저 고려합니다.
고운미소치과는 인접치아를 움직여 그 공간을 닫아 임플란트 수술이나 보철 치료 없이 자연치를 최대한 활용하는 치료 계획을 세웁니다.
치조골 손상이 심해 발치를 하고 임플란트를 해야 하는 상황
인접치아로 발치된 공간을 메움
자연치보존 교정치료
[ 구연발표 ]
[ 포스터발표 ]
[ 심포지움 참석 ]


