충치나 외상 등에 의해서 치아 내 신경과 혈관이 자가 치유될 수 없거나 이미 괴사되었을 때,
치아의 수명을 연장시키는 치료법으로 신경 조직을 완벽히 제거 하고 치료하여 재발을 막고, 장기적으로 치아 주변 조직에
염증이 생기지 않도록 하는 시술입니다.
뿌리에 염증으로 흔들리는 치아
치주 치료로 재생된 건강한 잇몸
치주염은 잇몸의 뼈 부분까지 염증이 진행된 상태를 말합니다. 치석이 치주염 상태가 될 때까지, 즉, 치아 뿌리까지 들러붙어 내려가게 되면
치주인대가 소실되고 치조골까지 녹아 내리게 됩니다. 고운미소에서는 증상이 악화되기 전에 큐렛, 근관치료, 치근단 수술,
치아 재식술등의 다양한 치료로 치아를 최대한 살리려고 노력하고 있습니다.
오른쪽 어금니 염증으로 내원한 40대 환자입니다. 치석이 잇몸 안쪽으로 진행되어 마취 후 큐렛을 진행 했습니다.
큐렛은 일반 스케일링보다 잇몸 속 더 깊숙이 있는 치석, 염증을 제거하는 치료입니다.
잇몸 사이 치석과 낭종
큐렛으로 낭종 및 치석제거
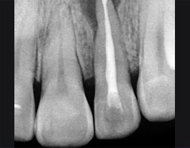
치아 뿌리 주변 염증과 치조골이 녹아내려 통증과 더불어 치아가 흔들리는 상태로 내원한 환자입니다. 우선 큐렛으로 잇몸 속 치석을 제거하였습니다.
뿌리 주변 염증은 신경관을 소독하고 약재를 삽입하는 신경치료를 시행하였습니다.
치근단 염증
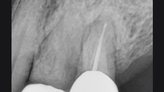
신경관 소독
신경관 약재 삽입
약재 주입 후 반응
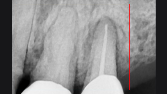
신경관이 막혀 있는 경우 재 신경치료로 낫지 않는 경우, 포스트가 있어 재 신경 치료를 할 수 없는 경우, 치아 뿌리까지 염증이 심하지만 이러한 염증을
제거 할 수 없는 경우, 고운미소 치과에서는 치조골 주위 염증조직을 제거하는 치근단절제술을 시행합니다.
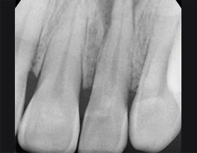
기존 신경치료는 양호한 상태이나 치근부위에 염증과 치조골 소실이 진행 중
치아 뿌리 쪽 잇몸을 절개하고 치조골 부위의 염증조직을 제거.(난이도 중)
심한 염증으로 치조골이 광범위하게 소실, 아래쪽 신경관이 가까이 있어 치근단수술이 불가능한 상태, 타 병원에서 임플란트 진단을 받았지만,
고운미소치과에서 치아를 발치하고 뿌리 쪽 염증을 제거한 후 발치한 치아를 다시 심는 치아재식술을 시행하였습니다.
기존 신경치료 부위에 염증과 치조골이 소실되고 있는 상태
치아를 발치하고 염증을 제거, MTA로 충전하고 치아를 다시 심음. (난이도 중)
[ 구연발표 ]
[ 포스터발표 ]
[ 심포지움 참석 ]
