한번 상실된 자연 치아는 되돌릴 수 없습니다. 그렇기에 더욱 신중하고 정확한 진단과 치료 계획 수립이 이루어져야 합니다.
고운미소치과 목동점은 중등도 이하의 골격 부조화로 인한 불규칙한 치열과 부정교합 증상을 가지고 계신 환자 분의 자연 치아를
최대한 유지하고, 부담스러운 양악수술 대신 정상교합을 찾을 수 있는 비발치/ 비보철/ 비수술 원칙을 통해 교정 치료를 진행합니다.

고운미소치과 목동점은 가급적 발치를 하지 않고 자연치아는 최대한 살리면서 치열을 고르게 배열하려는 원칙을
가지고 있습니다. 많은 병원에서 간단한 부정교합이 아닌 이상 대부분 발치 교정으로 진행하는데, 이제는 의술의
발전으로 과거에 비해 발치 없이 치아교정이 가능한 경우가 늘어나고 있습니다. 풍부한 노하우를 가진 교정의사의
정확한 진단 하에, 발치없이 가지런한 치열, 자연스러운 입술 외모를 비발치 교정을 통해 얻을 수 있습니다.

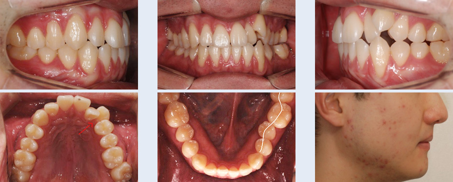
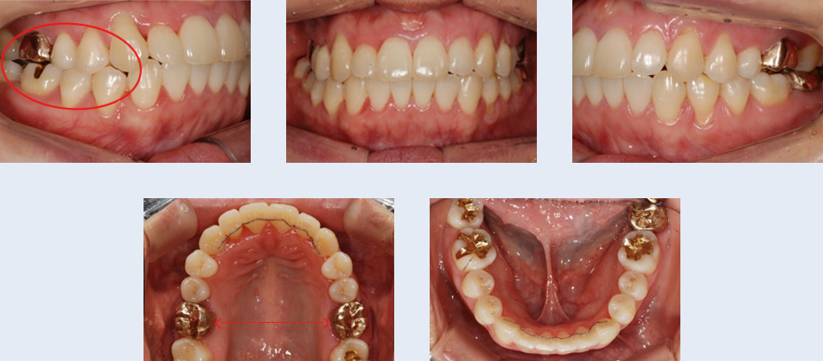
앞니 치열 불규칙하고 어금니가 잘 맞물리지 않아 소리가 나는 증상으로 내원한 22세 대학생입니다.
좌측 위 덧니가 관찰되었고 아래 어금니 배열이 바르지 않아 위 어금니와 정상적인 교합 관계를 보이지 않는
상태였습니다. 이를 빼지 않고 공간을 확보하기 위해 다음의 치료를 진행하였습니다.


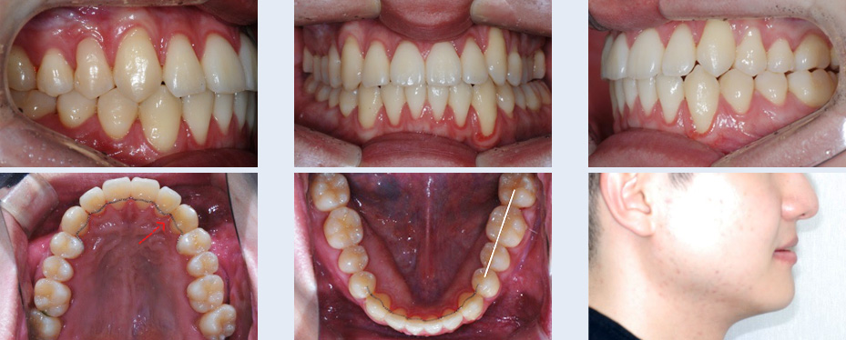
앞니 치열이 고르게 개선 되었으며 어금니가 자연스럽게 맞물리는 정상교합이 되었습니다. 자연치아를 빼지 않고
약간의 치간 삭제를 통해 교정 치료가 완료되어 환자 분의 만족도가 높은 케이스였습니다.
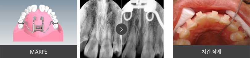
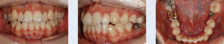
고르지 않은 앞니의 교정 치료를 위해 내원한 26세 여성입니다. 상대적으로 위턱의 공간이 아래턱에 비해 좁아
비대칭이 나타난 상황이었으나, 이를 빼거나 양악수술을 원치 않으셔서 그 대안으로 위턱뼈의 공간 확장
(MARPE)과 미니스크류를 이용하여 아래 치아를 후방 이동시킨 후 공간을 확보하는 치료 계획으로
진행되었습니다.


발치와 양악수술 없이 자연스럽고 고른 치열을 갖게 되어 앞니의 심미적인 개선을 기대한 환자 분의 만족감이
높았습니다.

일반적으로 상실된 치아들은 임플란트나 브릿지 등으로 수복해야 했습니다. 하지만 고운미소치과 목동점에서는
발전된 장치와 교정용 미니스크류의 활용, 3D 진단 등을 통한 치아 이동의 예측을 통해 이가 빠진 공간을
임플란트와 보철물로 수복하지 않고 인접치아를 움직여서 공간을 닫는 비보철 교정이 가능합니다.

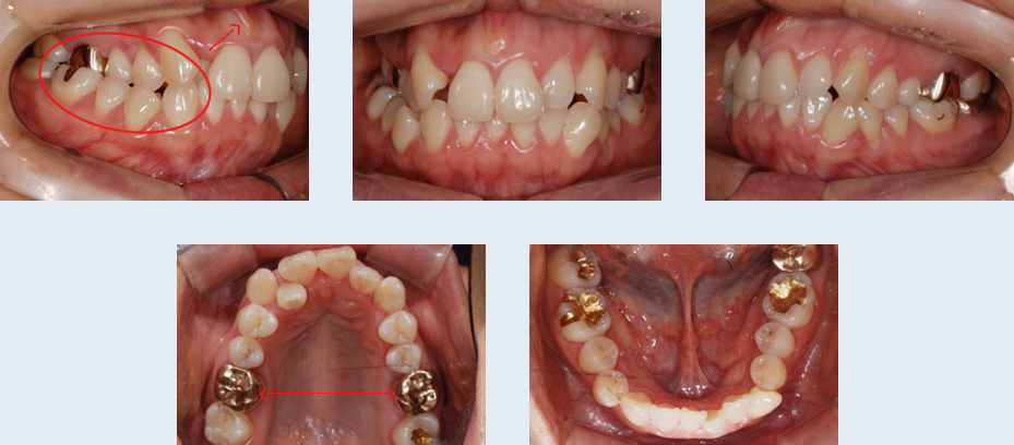
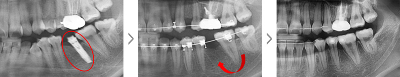
2년 전 식립한 임플란트의 보철물이 탈락된 상태로 1년간 지내오신 25세 여성입니다. 임플란트 식립을 위해
사용한 인공 뿌리를 제거하고 치아가 가지런해 지길 원하셨습니다. 자연치아로만 치료를 진행할 수 있도록 하기
위해 인공 뿌리를 제거하고, 빈 공간으로 치아를 이동시켰습니다.


임플란트 제거 후 생긴 빈 공간으로 브라켓을 부착한 사랑니를 이동시켜 추가적인 임플란트 식립이나 보철 치료
없이도 자연스러운 치열을 갖게 되었습니다.
고운미소치과 목동점은 중등도 이하의 골격 부조화로 인한 불규칙한 치열과 부정교합을 수술없이(비수술)
배열하고 안정적으로 유지될 수 있도록 치료하려는 원칙을 가지고 있습니다. 구강외과 원장님과의 협진을
바탕으로 정확한 진단과 치료 계획 수립 하에 부담스러운 양악수술없이 정상 교합을 얻고자 환자 분의 입장에서
생각하고 치료하기 위해 노력합니다.

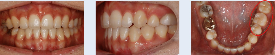
아랫니가 앞니보다 바깥쪽으로 위치한 증상을 바로잡고 빠진 윗니를 수복하기 위해 내원한 37세 남성입니다.
검사 결과 위쪽 영구치 3개 결손 된 상태였으며, 아래턱이 전방 위치된 주걱턱(골격성 3급 부정교합)으로 진단
하였으나 양악수술 없이 치료를 원하셔서 치아교정과 임플란트 치료를 병행하였습니다.


약 2년 간의 교정 치료 후 정상적인 앞니 배열과 임플란트 식립에 필요한 공간이 확보되어 보철 치료를 한 후
교정 장치를 제거하였습니다. 거꾸로 물려 정상적인 기능이 어려웠던 앞니의 심미적, 기능적 회복이 동시에
이루어졌습니다.
