충치나 외상 등에 의해서 치아 내 신경과 혈관이 자가 치유될 수 없거나 이미 괴사되었을 때,
치아의 수명을 연장시키는 치료법으로 신경 조직을 완벽히 제거 하고 치료하여 재발을 막고, 장기적으로 치아 주변 조직에
염증이 생기지 않도록 하는 시술입니다.
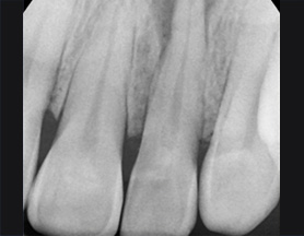
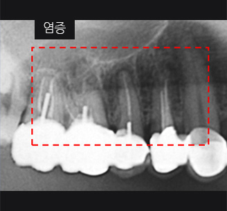
1년전 다른 치과에서 보철치료를 받은 부위에 지속적인 통증과 잇몸 염증으로 내원, 기존 보철물 수복시 신경관을 제대로 치료하지 못하여 염증이
재발된 상황이었습니다. 고운미소에서는 기존 포스트를 제거하고 오염된 부위에 약재를 삽입하여 염증을 제거하는 신경치료를 시행하였습니다.
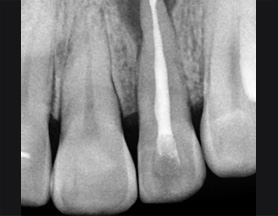
지속적인 통증과 잇몸염증
기존 포스트 제거 후 근관내 약재 삽입
치근단 부위 회복
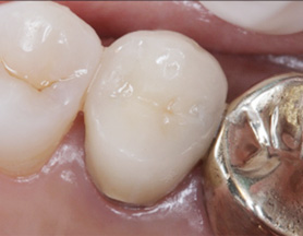
염증을 제거하는 신경치료 후 치근단 부위가 빠르게 회복되어 깔끔하게 신경치료를 완료하고 크라운 보철물을 씌웠습니다.
신경치료를 받은 치아는 약해져 있기 때문에 크라운 보철물로 씌워주어 세균 감염을 예방해야 합니다.
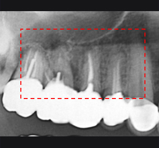
치근단 염증
신경관 소독
신경관 약재삽입
약재주입 후 반응
신경치료를 받은 치아는 수분이나 영양공급이 이루어지지 않기 때문에 쉽게 치아가 부서지거나 깨질 수 있으므로,반드시 신경치료 한
치아는 크라운을 씌워 치아를 보호해 주어야 합니다.
치근단 염증
캐스팅 포스트 제작
캐스팅 포스트
크라운치료
크라운을 하기 전에 신경 치료를 위해 뚫어 놓은 구멍을 단단한 재료로 메우는 것이 필요합니다. 보통 코어, 핀 포스트, 캐스팅포스트,
파이버 포스트와 같은 종류가 있으며 외부에서 힘을 가해져도 치아가 부러지지 않고 남은 치아의 구조물에 잘 붙어 있도록 합니다.
충치가 많이 진행되어 치아 부분이 많이 없거나 치아가 약한 경우에 필요합니다.


신경치료 후 보철 치료를 하지 않은 경우 작은 충격에도
쉽게 부러지며, 뿌리 부위까지 부러지면 치아를 발치 해야 하는
상황까지 이어지게 됩니다.
