치의학박사
문원규 대표원장
김영원 대표원장
-
- 자연치보존교정


대부분의 치과에선 빼야 하는 치아가 있거나 이미 빠졌거나, 신경 치료 후 예후 불량으로 인해 치아를 살릴 수 없는 경우 임플란트를 먼저 고려합니다.
고운미소치과는 인접치아를 움직여 그 공간을 닫아 임플란트 수술이나 보철 치료 없이 자연치를 최대한 활용하는 치료 계획을 세웁니다.
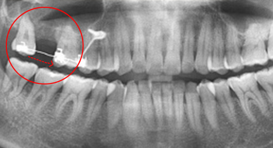
치조골 손상이 심해 발치를 하고 임플란트를 해야 하는 상황
인접치아로 발치된 공간을 메움
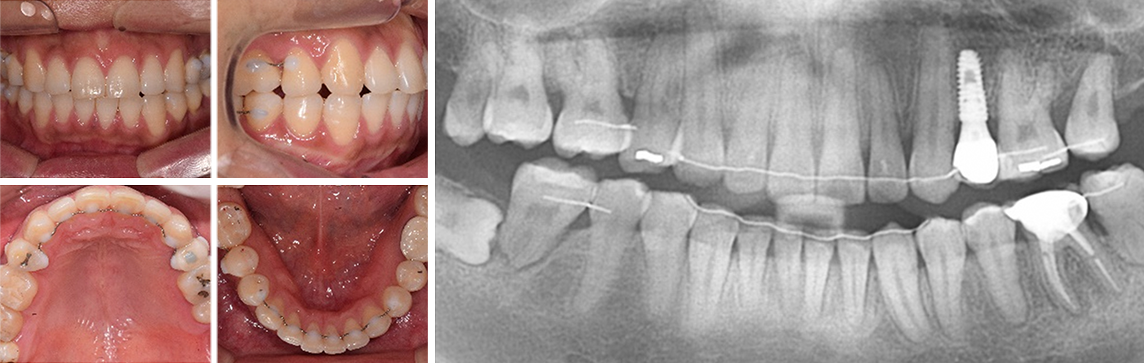
자연치보존 교정치료
30대 남환으로 다른 치과에서 임플란트 5개 진단을 받고 내원. 교정과 협진으로 공간을 메꾸고 오른쪽 위 치아에 임플란트를
1개만 식립하여 자연치아를 최대한 활용하는 진료 계획을 세움.
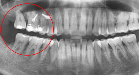
다른 병원에서 임플란트 5개 진단을 받고 내원
사랑니를 빈 공간으로 이동시킴
치아가 상실된 부위 공간을 사랑니를 활용하여 모두 메워 임플란트 개수를 5개에서 1개로 감소. 또한 상실된 부위의 잇몸 뼈 높이가 높아져 예전보다
건강해 졌으며, 입술 외모가 개선되었습니다.
이가 고르지 않고 입술이 나와 보여 개선되기를 원하심. 일반적인 교정치료 방법인 위/아래 작은 어금니 발치 후 앞니 견인을 계획하였으며,
좌측 아래쪽에는 상실된 어금니를 대체하고 있던 임플란트의 뿌리와 지대주 부분만 남아있어 가급적 자연치 보존을 위해 작은
어금니 대신 임플란트를 제거하고 사랑니를 포함한 어금니를 전방으로 당겨오는 치료 진행.


치아 배열이 가지런하게 되었고 제거된 임플란트 공간은 앞니의 후방이동과 어금니들의 전방이동으로 잘 폐쇄되어 본인의 치아를 최대한 보존하며
교정적으로도 만족할 수 있는 결과를 획득하여 유지하고 있습니다.
