치의학박사
문원규 대표원장
김영원 대표원장
-
- 증상별 치아교정


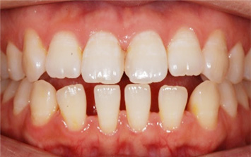
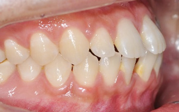
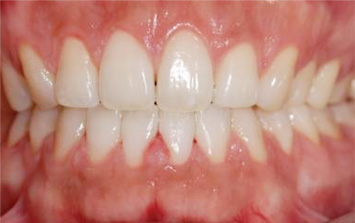
30대 직장인 여환으로 아래 앞니의 벌어짐이 보기 안 좋아 치료를 위해 내원. 고정식 장치를 이용한 비발치 치료 계획을 하였으나 환자분이 치아에 장치가
부착되는 것을 꺼려하여 인비절라인으로 치아교정 진행.






총 10개월 동안 장치 20여개를 사용하여 교정 완료 하였습니다. 약간 돌출되고 벌어진 앞니가 개선되어 예전보다 자연스러우면서도
아름다운 미소를 만들어 드렸습니다.
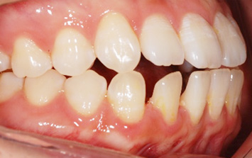
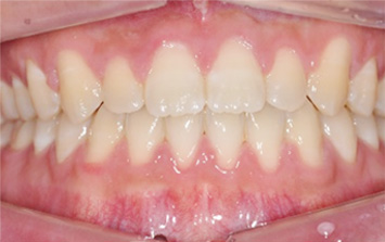
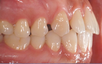
앞니가 돌출되고 심하게 벌어진 환자분 라미네이트를 받으려고 내원. 앞니를 삭제하고 라미네이트 보철물을 붙이는 치아성형 보다
자연치아를 그대로 보존하는 교정 치료가 더 안전하고 장기 예후도 좋기 때문에 고운미에서는 클리피씨 교정을 권하였습니다.클리피씨 장치를 이용하여
앞니를 모아주는 교정을 진행하였습니다.






돌출된 입술과 벌어진 앞니가 자연스러운 모습으로 재배열 되었습니다.
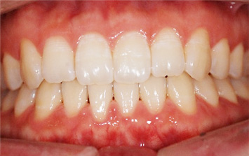
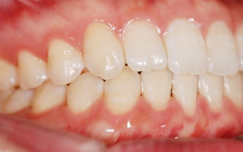
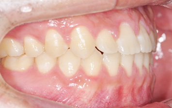
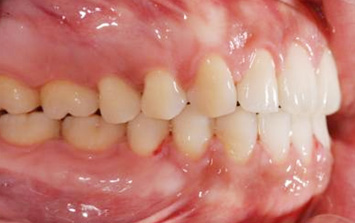
여환으로 위 앞니 사이가 벌어지고 돌출된 것을 개선하기 위하여 내원하셨습니다. 교정치료 중 결혼 가능성도 있어 교정장치가
보이지 않는 것을 원하여 위는 안쪽, 아래는 바깥쪽으로 치료하는 콤비교정 원하였으며, 너무 많은 양의 입술위치 개선은 원하지 않았습니다.
전체 위 치열을 후방 이동시키는 콤비교정으로 시행하였습니다.






앞니 사이 벌어진 공간 닫히고 가지런한 치아배열과 자연스러운 입술위치를 얻을 수 있었습니다.
