연세대 치과대학
치의학박사
문원규 대표원장
치의학박사
문원규 대표원장
연세대 치과대학
김영원 대표원장
김영원 대표원장
-
- 증상별 치아교정


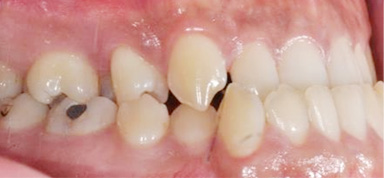
주걱턱으로 앞니가 서로 거꾸로 물리고 어금니가 제대로 물리지 않는 남환, 타 병원에서 양악 수술 진단을 받고 내원하셨습니다.
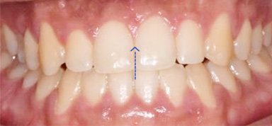
고운미소에서 교정용 미니스크류를 이용하여 아래 치열은 후방이동, 위 치열은 전방으로 이동하는 치료를 진행하였습니다.





위턱에 비해 아래턱이 크고 전방에 위치, 우측으로 변위된 비대칭을 보입니다.





비 수술교정치료 이후 제대로 물리지 않던 어금니와 앞니 배열이 정상적으로 돌아왔습니다.
