치의학박사
문원규 대표원장
김영원 대표원장
-
- 증상별 치아교정


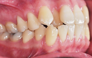
다른 병원에서 발치 교정이 필요하다고 설명을 듣고 내원. 현재 운동 선수여서 발치교정 시 기간과 외부충격에 노출될 우려가 있어 고운미소에서는 비발치
교정으로 매복되어 있는 위아래 사랑니들을 발치하고 전체 치열을 후방 이동시켜 공간을 얻어 덧니를 폈습니다.






일반적인 비발치 교정의 경우 공간을 충분히 얻지 못하면 입술이 돌출되는 문제점이 있으나 고운미소치과에서는
사랑니공간으로 후방이동 시킴으로써 문제를 해결하였습니다.
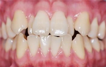
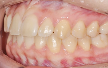
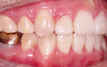
덧니와 부정교합으로 내원한 여환. 오른쪽 아래턱의 심한 덧니와 앞니가 삐뚤어져 있으며, 부정교합 증상도 있습니다. 일반 병원에선 아래턱에 심한
덧니는 발치 후 치아교정에 들어가지만 고운미소에서는 발치하지 않고 전체치아를 후방 이동시키는 교정을 진행하였습니다.






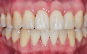
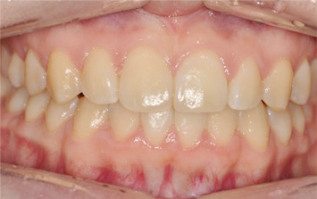
전체치아 후방이동으로 악궁이 넓어져 심한 덧니는 물론 부정교합 증상도 치료가 되었습니다. 자연스러운 앞니 배열과 부정교합 치료로
치아교정이 완료 되었습니다.
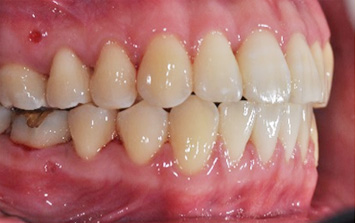
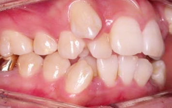
위아래 덧니가 정상적으로 나오지 않은 여환. 위치를 잘못 잡고 나온 송곳니를 제대로 내려올 수 있게 전체 치아를 후방이동 시켜 악궁을 넓히고
송곳니를 견인하기로 하였습니다.






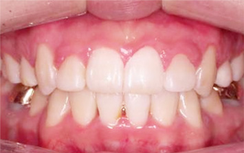
전체 치아 후방 이동 후 송곳니를 견인하여 제 위치로 끌어 내림으로써 자연스러운 안모를 얻고 전체치아의 교합도 개선되어 음식물도
예전과는 다르게 잘 끼지 않아 건강하고 자연스러운 치아교정이 완성되었습니다.
