치의학박사
문원규 대표원장
김영원 대표원장
-
- 증상별 치아교정


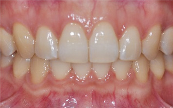
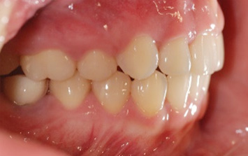
돌출개선을 다른 병원에서 작은 어금니 4개 발치하고 교정치료 진행하였으나 여전히 돌출된 입술로 인하여 재 교정 상담하였습니다.
사랑니들 공간으로 위아래 전체 치열을 후방 이동시켜 돌출입을 개선하였습니다.






위아래 앞니각도와 입술위치 개선되어 편안하게 입을 다물고 예전 보다 젊은 입술라인으로 자연스러운 입술모양으로 교정이 완료 되었습니다.
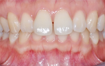
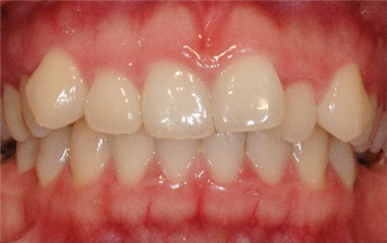
위 앞니 사이가 벌어지고 돌출된 것을 개선하기 위하여 내원. 장치가 보이지 않는 것을 원하여 위는 안쪽, 아래는
바깥쪽으로 치료하는 콤비교정 원하였으며, 너무 많은 양의 입술위치 개선은 원하지 않았습니다. 작은 어금니 발치 없이 전체 위 치열을 후방
이동시키는 치아보존 교정치료를 콤비교정으로 시행하였습니다.






치료 후 앞니 사이 벌어진 공간 닫히고 가지런한 치아배열과 자연스러운 입술위치를 얻을 수 있었습니다.
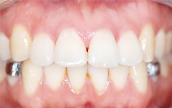
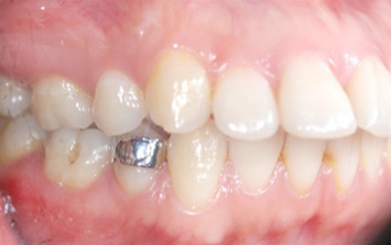
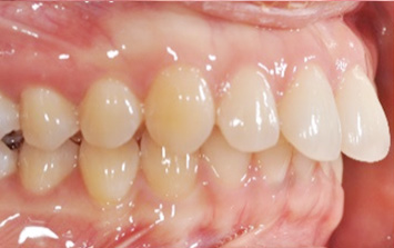
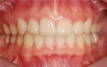
돌출입과 오른쪽 어금니가 상실된 상태이며 아래턱이 약간 작고 후방에 위치한 여환. 위 앞니의 불규칙한 배열로 충치가 잘생김. 전체 치아를 후방
견인하고 교정완료 후 오른쪽 어금니에 임플란트를 식립






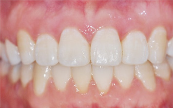
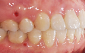
전체치아 후방 견인으로 돌출된 입과 입술 정중앙선이 개선되었습니다. 위 앞니의 배열이 가지런해져 음식물이 잘 끼지 않는
건강하고 아름다운 치열이 완성되었습니다.
