성장기 자녀들의 얼굴형의 부조화와 부정교합의 원인은 위, 아래턱 간 발달이 불균형적이거나 치아 맹출의 문제일 수 있습니다.
골격 성장 단계와 유치에서 영구치로의 교환 시기를 고려한 진단으로 맞춤치료를 하는 것이 중요합니다.
성장기 학생들마다 안면 골격 성장 량과 방향에 차이가 있고 영구치들의 맹출 단계와 시기도 다르며
습관, 유전 등에 영향을 받으므로 이를 고려하여 교정치료의 적절한 시기와 개선 가능성 등을 판단하고 시행하는 것이 중요합니다.

우리 아이의 골격 성장 단계를 확인해야 합니다. 이때 가장 많이 이용하는 방법은 손과 손목 부 X-RAY를 통한 성장 판 분석입니다.
고운미소에서는 성장 판 검사 뿐 아니라 임상검사, 방사선 검사, 치아 모형 검사, 부모님 설문 등의 다양한 내용들을 종합하여
성장기 청소년 개개인에 맞는 치료를 진행합니다.
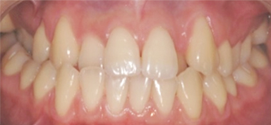
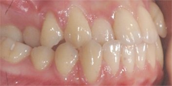
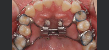
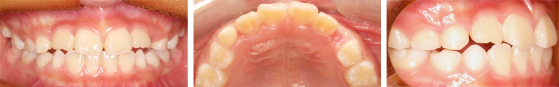
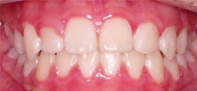
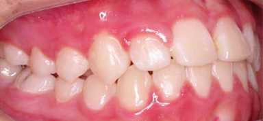
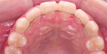
공간부족으로 인하여 치아가 제대로 나오는 못한 2급 부정교합 환자입니다.
고운미소에서 악궁을 넓혀주는 급속구개확장술 (RPE)를 적용하여 비발치 교정을 진행하였습니다.





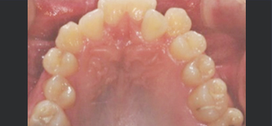
위턱이 수평적으로 좁아져 있어 치아 배열이
고르지 못한 경우 급속구개확장장치(RPE)를 이용
악궁을 넓혀 공간을 확보하여 치료합니다.



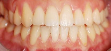
급속구개확장술 (RPE) 장치로 빠르게 상악이 확장되었습니다. 넓어진 공간으로 치아가 이동이 되어 발치를
하지 않고 가지런하게 치아교정이 되었습니다.
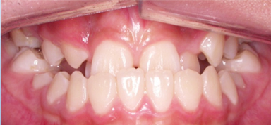
위, 아래 앞니가 거꾸로 물리는 반대교합으로 정밀진단 결과 3급 부정교합 환자 입니다. 반대교합의 경우 오랫동안 방치하게 되면
아래턱뼈의 성장이 촉진되어 시간이 흐를수록 점점 길어지기 때문에 초기에 교정하는 것이 중요합니다. 고운미소에서는 가철식
교정장치를 이용하여 앞니를 전방으로 경사이동 시키는 교정을 진행하였습니다.


위, 아래 앞니가 거꾸로 물리는 반대교합의 경우
탈 부착이 가능한 가철식 교정 장치를 이용하여
위 앞니를 전방 경사 이동시켜 치료합니다.

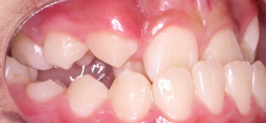
위턱의 성장이 부족하고 아래턱 성장이 과도하여 치아가 반대로 물리는 초등학생 환자입니다. 이 상태가 지속되면 성장이 끝나도 앞니가
반대로 물리게 되어, 저작, 발음, 외모에 영향을 주기 때문에 조기 치료가 중요합니다.
고운미소에서는 골격 부조화를 개선시키기 위해 페이스마스크를 이용한 교정을 진행하였습니다.




아래턱에 비해 위턱의 전후방, 측방 성장이 부족한 경우 페이스 마스크(Face Mask) 장치를 이용합니다.
이는 아래턱의 전방 성장을 막아주면서 위 악궁의 확장과 더불어 위턱에 전하방 견인력을 가하여
골격 부조화를 개선시킵니다.



페이스 마스크를 하루에 7시간 이상 착용하였고, 위턱은 전방으로, 아래턱은 성장 방향에 따라 후방 이동되었습니다.
아래턱의 경우 키 성장이 일어나는 동안 지속적으로 성장하기 때문에 정기적으로 체크하여
재발 여부를 지속적으로 관찰하는 것이 중요합니다.
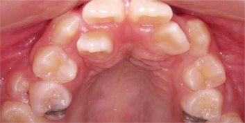
앞니가 벌어져 있고 전방으로 뻐드러져 보여 개선을 위해 내원. 검진 결과 다수의 영구치가 결손 되어 있고 유치가 남아있으며
위턱에 비해 아래턱이 상대적으로 후방에 위치한 상태로 진단되어 Bionator를 이용한 1차 교정치료를 통해 아래턱의 위치를 개선시키고
2차 치열 교정을 통해 유치를 발치 하지 않고 함께 이동하여 종료하였습니다.
2단계로 나누어 진행한 치료이며 성장기 청소년의 골격 부조화를 가철식 장치를 이용하여 개선 후 치아의 정교한 이동을 위해 일반적인 브라켓 장치를
부착하여 배열하였습니다. 기준에 비해 후퇴되어 있던 아래턱의 위치가 전방 이동되었으며, 양호한 배열 상태와 교합 관계를 획득하였습니다.
치열이 고르지 않고 좌측 송곳니가 나오지 않아 검진을 위해 내원한 학생. 방사선 사진 촬영 결과 인접 치아 뿌리 끝에 매복되어 있는 송곳니를 발견하였으며
발치를 고려하였으나 성장기 동안 앞니가 없이 지내야 하고 어린 나이에 적절한 보철 치료를 하기 어려워 치아를 살리는 계획을 수립.
구강외과 협진으로 수술을 통해 매복치아에 장치를 부착 후 견인 및 배열하였습니다.
총 2회에 걸친 구강외과와의 협진으로 매복된 송곳니에 장치 부착하여 제자리로 이동시켰습니다.
치료 결과 고르지 않던 치열이 자연스러운 형태로 교정이 완료 되었습니다.
