치아가 빠진 후 장시간 방치하면 뼈의 흡수가 진행되어 잇몸 뼈가 약해지게 됩니다. 약해진 잇몸 뼈는 임플란트 식립이 어려워
부족한 뼈를 보강한 후 임플란트 시술을 해야 합니다. 약한 잇몸 뼈는 임플란트 시술 후 부작용을 야기 시킬 수 있어
다양한 방법(골이식술, 골유도재생술, 골신장술 등)으로 뼈를 재생시켜야 튼튼한 임플란트 시술이 가능합니다.
임플란트 식립
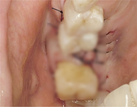
인공뼈 및 가가골 이식 (뼈 이식)
뼈의 재생을 유도 (골유도재생술)
잇몸 봉합 (3~5개월 후 완성)
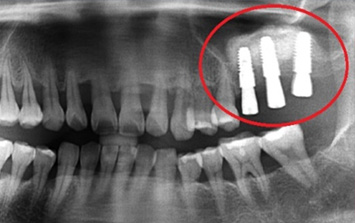
아래턱 어금니 발치 후 장시간 방치하여 잇몸 뼈 소실이 심한 상태로 내원. 뼈 이식 후 임프란트를 식립하였습니다.
잇몸 뼈 소실이 심한 상태로 내원
뼈 이식 후 치조골 밀도가 높아진 모습
위 턱뼈는 아래턱뼈보다 얇고 코와 뺨 사이 빈 공간(상악동)이 있어서 임플란트를 식립할 경우 실패 가능성이 높아집니다.
상악동거상술이란 임플란트 수술방법을 시행할 때 노하우가 부족하면 임플란트 식립 후 임플란트가 빠져버리거나
입 천장 쪽에 구멍(천공)이 나는 부작용이 생기기 때문에 치과치료 중 가장 어려운 수술 중 하나 입니다.


부족한 잇몸 뼈를 보충하는 뼈 이식술과
난이도 높은 상악동거상술을 진행해
안정적인 임플란트 수술을 마쳤습니다.
고운미소치과에서는 턱뼈의 해부학적 구조를 충분히 고려하고 임플란트 수술을 해온 노하우를 바탕으로 상악동 거상술은 물론
난이도가 높은 수술을 안정적으로 진행하고 있습니다.
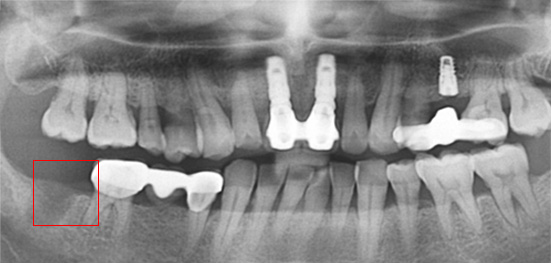
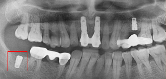
잇몸 뼈가 녹아내려 임플란트 12개 진단을 받고 내원한 환자, 고운미소에서 치주치료를 시행한 결과 전치부 잇몸이 개선되어 발치 하지 않고
크라운으로 수복하였고, 어금니는 상악동거상술 후 6개의 임플란트를 식립하였습니다.
잇몸 염증으로 치조골 손실이 많은 상태
잇몸 건강이 회복된 앞니는 크라운으로 수복
[ 구연발표 ]
[ 포스터발표 ]
[ 심포지움 참석 ]
