치의학박사
문원규 대표원장
자연치아의 중요성
임플란트의 대중화로 치주염으로 치아가 몹시 흔들리거나 충치가 심해 뿌리까지 손상된 경우,
또는 갑작스럽게 치아가 빠진 경우 임플란트로 대체하는 병원이 많습니다.
그러나 임플란트가 아무리 발전했다고 해도 자연치아의 기능과 안전성에는 비교 할 수 없습니다.
연세고운미소에서는 “무조건 적인 임플란트 시술을 피하고” 치아를 살릴 수 있는 방법을 먼저 고민합니다.
임플란트의 대중화로 치주염으로 치아가 몹시 흔들리거나 충치가 심해 뿌리까지 손상된 경우,
또는 갑작스럽게 치아가 빠진 경우 임플란트로 대체하는 병원이 많습니다.
그러나 임플란트가 아무리 발전했다고 해도 자연치아의 기능과 안전성에는 비교 할 수 없습니다.
연세고운미소에서는 “무조건 적인 임플란트 시술을 피하고” 치아를 살릴 수 있는 방법을 먼저 고민합니다.
임플란트는 현재까지 치아를 대체할 수 있는 훌륭한 인공치아지만 자연치아의 기능과 안정성에는 비교 할 수 없습니다.
그래서 최대한 자연치아를 살리는 것이 더 중요합니다. 연세고운미소에서는
“무조건 적인 임플란트 시술을 피하고” 치아를 살릴 수 있는 방법을 먼저 고민합니다.
치아보존 프로그램을 통하여 자연치아를 최대한 살린다면, 임플란트 식립 개수가 감소되어 경제적인 부담을 줄일 수 있습니다.
또한 발치를 하더라도 잇몸 속 뼈의 건강이 회복 되기 때문에 견고한 임플란트 수술이 가능합니다.
3D CT촬영
의료진 회의
환자 상황에 맞는
치료 계획
꼭 필요한 곳에만
임플란트 식립
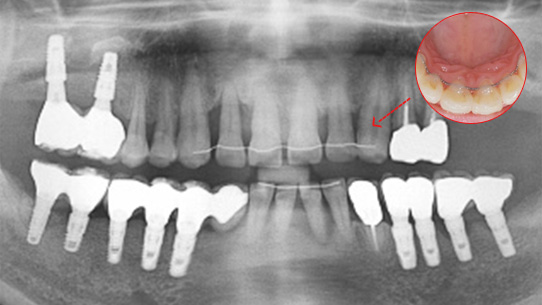
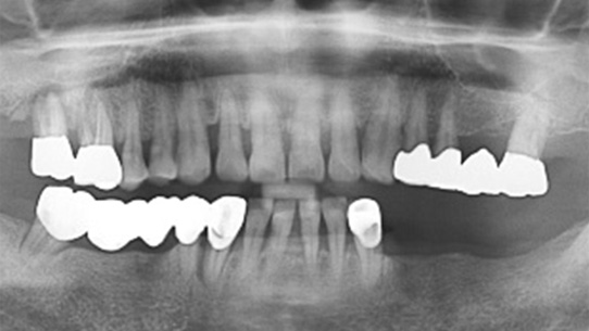
타 치과 에서 6개 치아를 발치하고 12개 임플란트 식립을 진단받고 내원. 고운미소에서 레이저 치주치료로
치아를 보존 시키고 6개의 임플란트 식립한케이스
잇몸뼈가 녹아내려 임플란트 12개 진단을 받고 내원한 환자, 고운미소에서 치주치료를 시행한 결과 전치부 잇몸이 개선되어 발치 하지 않고
크라운으로 수복하였고, 어금니에 6개의 임플란트를 식립하였습니다.
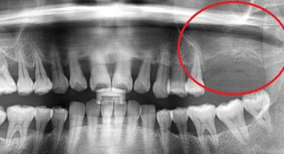
잇몸 염증으로 치조골 손실이 많은 상태
잇몸건강이 회복된 앞니는 크라운으로 수복
심한 염증과 기존 보철물의 오염상태가 심해 임플란트 17개를 진단받고 내원하신 환자분, 특히 앞니부분의 치조골이 많이 약해져 흔들림이 심하여 바로
치주치료를 시행하였습니다. 치주치료 2주 후 앞니 잇몸이 개선되어 발치 하지 않고 교정 유지장치를 이용하여 흔들림을 보완하였습니다.
오염된 보철물을 제거하고 임플란트 11개를 식립하였습니다.
심한 염증으로 치아가 흔들리는 상태
앞니 흔들림을 보완하는 유지장치 부착
위 턱뼈는 아래턱뼈보다 얇고 코와 뺨 사이 빈 공간(상악동)이 있어서 임플란트를 식립할 경우 실패 가능성이 높아집니다.
상악동거상술이란 임플란트 수술방법을 시행할 때 노하우가 부족하면 임플란트 식립 후 임플란트가 빠져버리거나 입 천장 쪽에 구멍(천공)이 나는 부작용이
생기기 때문에 치과치료 중 가장 어려운 수술 중 하나 입니다.
고운미소치과 문원규박사는 턱뼈의 해부학적 구조를 충분히 고려하고 임플란트 수술을 해온 노하우를 바탕으로 상악동 거상술은
물론 난이도가 높은 수술을 안정적으로 진행하고 있습니다.
30대 남환으로 다른 치과에서 임플란트 5개 진단을 받고 내원. 빈 공간을 활용하여 돌출입 교정치료를 하고 임플란트를 최소로 하는 것을
목표로 교정 계획을 세움. 잔존하는 치아뿌리를 모두 제거하고 전치의 전방 견인하는 교정치료를 진행하였습니다.
치아가 상실된 부위 공간을 사랑니를 활용하여 모두 매꿔 임플란트 개수를 5개에서 1개로 감소. 또한 상실된 부위의 잇몸 뼈 높이가 높아져 예전보다
건강해 졌으며, 입술 외모가 개선되었습니다.
자연치아 모습과 거의 흡사한 넓은 지지대로 안정적인 임플란트 식립 및 유지가 가능
보철물과 지대주 사이 틈새가 없어 이물질이 끼지 않아 임플란트 주위염에 노출될 가능성이 적다.
기성 임플란트(지대주)
맞춤형 임플란트(지대주)
| 임플란트 픽스처 · 보철물 | 정기검진 | |||
|---|---|---|---|---|
| 보증기간 | 1년 이내 본인 부담 없음 | 잇몸관리 프로그램 |
||
| 2년 이내 본인 부담 50% | ||||
| 2년 초과 본인 부담 100% | ||||
[ 구연발표 ]
[ 포스터발표 ]
[ 심포지움 참석 ]
