-
- 사랑니 클리닉


사랑니는 사랑을 느끼는 나이인 19~21세쯤에 난다고 하여 “사랑니”로 불리고 있습니다.
보통 위턱2개 아래턱2개로 모두 4개의 사랑니를 가지고 있으나, 현대에 들어서 예전 사람들에 비해 턱뼈가 작고
치아 보철술의 발달로 어금니 상실률이 적어지게 되면서 나와야 할 치아가 나오지 못해 턱 뼈 속에 묻히게 되는 경우가 많아 졌습니다.
사랑니 자체가 없는 경우도 있습니다.
사랑니는 똑바로 자라지 못하고 잇몸 속에 누워 다른 치아에 영향을 주기도 합니다.
어금니 맨 뒤에 위치해 칫솔이 잘 닿지 못하면서 잇몸염증이 자주 발생하며, 또한 음식물이 끼고 충치가 진행되면서
인접 치아의 신경 치료 및 크라운 수복이 필요할 수 있는데 상태가 심각한 경우 발치를 해야 되는 경우도 있습니다.
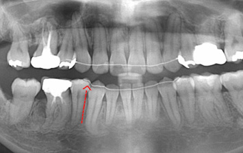
사랑니가 잇몸 속에 누워 인접치아가 깨지고 충치가 발생하여 심한 통증으로 내원한 환자
사랑니 발치는 일반 진료가 아닌 외과 수술입니다. 사랑니는 치아 모양과 방향 모두 제 각각 이기 때문에 턱 주변 조직과 치아 뿌리의 방향,
신경관 위치 등을 모두 고려해야 하는 고난이도 진료입니다.
사랑니가 잇몸 속에 누워 자란 경우 주변 신경관에 영향을 줄 수 있어 충분한 노하우로 안정적으로 발치를 해야 합니다.
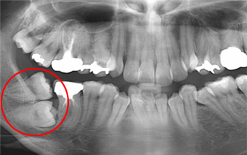
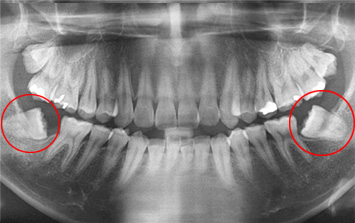
아래쪽 사랑니 두 개가 심하게 누운 상태로 내원, 오른쪽 사랑니는 인접치아를 누르고 있고 왼쪽 사랑니는 음식물이 잘 끼고 가끔 염증이 생긴다고 합니다.
보통 사랑니는 발치를 하지만 인접 치아가 결손 되어 있는 경우, 고운미소에서는 매복된 사랑니를 치아교정으로 견인하여
발치 하지 않고 자연치아를 보존하였습니다.
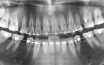
심하게 누운 사랑니
치아 교정으로 쓰러진 사랑니를 바로 세움.
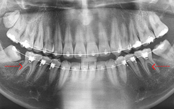
치아 교정으로 사랑니 전방 이동
26세 여환으로 우측 아래 어금니 매복으로 다른 치과에서는 어금니 2개를 모두 발치 해야 한다는 진단을 받고 내원.
환자분이 매복된 치아를 꼭 살리고 싶다고 하여 사랑니는 발치를 하고 매복되어 있는 치아는 교정으로 견인 하기로 함.
구강외과 협진으로 안정적으로 사랑니를 발치하고 치아교정을 진행하였습니다.
어금니와 사랑니가 수평 매복되어 있는 상황
사랑니 발치 후 매복된 치아 견인
교정 후 치조골 또한 온전하게 재생됨
구강외과 협진- 사랑니를 발치 한 이유는 매복치아를 발치 할 경우 다량의 뼈를 제거해야 하고
그로 인하여 아래턱뼈가 약해질 가능성이 있다고 판단했기 때문입니다.
[ 구연발표 ]
[ 포스터발표 ]
[ 심포지움 참석 ]
