치아 위치 이상이나 색의 부조화 정도가 심한 치아, 심한 충치로 인해 신경치료를 한 치아,
외상으로 인해 보철수복이 필요한 치아의 경우 선택하는 치료로, 기존의 불량 보철물이나 금속 도재관으로 치료 받은
앞니의 경우 잇몸과 보철물 경계부위에 검게 보이는 현상이 종종 발생하는데
이런 부분을 재치료 할 때 자연치아와 유사한 결과를 얻을 수 있습니다.
기존 불량 보철물 이상으로 내원한 40대 남성환자. 고운미소에서는 오염된 불량 보철물을 제거하고 기존의 PFM 보철물에 비하여
자연스러운 색조를 재현할 수 있고, 시간이 지나도 잇몸이 검게 변하는 현상이 거의 없는 올세라믹으로 치아를 수복하였습니다.
보철물이 오염된 상태
오염된 보철물 제거
올세라믹으로 수복
오염된 보철물을 제거하고 잇몸치료 후 최대한 앞니의 심미성과 기능을 복원하여 최대한 자연스러워 보이도록 개선하였습니다.
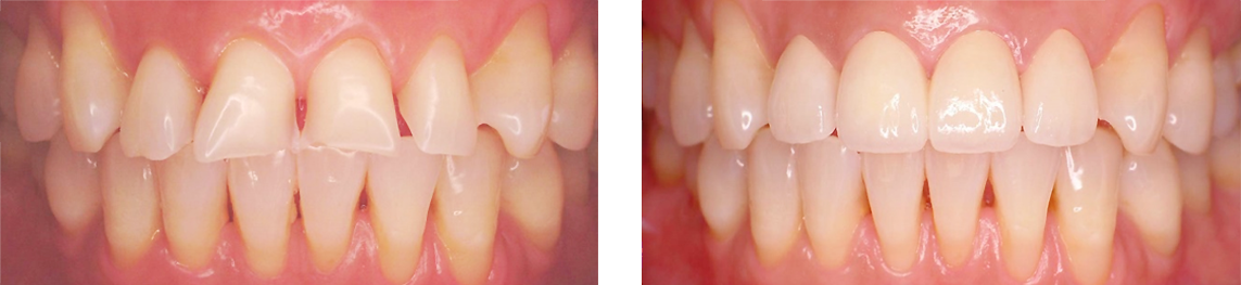
40대 여성환자로 기존 보철물의 색 변화를 올세라믹으로 교체하여 보다 자연스럽고 가지런한 치아모양이 되었습니다.
50대 남성환자로 치아의 마모 및 파절 때문에 내원하셨으며, 올세라믹을 통해 보다 자연스러운 치아모양을 얻으셨습니다.
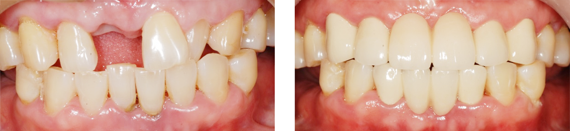
앞니 상실과 치주염으로 내원하신 40대 남성환자. 전체적인 치주치료와 함께 올세라믹으로 앞니를 수복하였습니다.
건강한 잇몸과 자연스러운 앞니 모양으로 만족하셨습니다.
[ 구연발표 ]
[ 포스터발표 ]
[ 심포지움 참석 ]
