나이가 들면 우리 얼굴 피부는 아래로 처지게 됩니다. 자연스럽게 윗입술 부위도 아래로 처지게 되면서 윗니가 덜 보이게 됩니다.
앞니가 보이는 정도, 치아의 마모, 색상 등도 나이 들어 보이게 만드는 요소가 되는 것입니다. 중 장년층 보철치료를 통하여 가지런한 앞니는
심미적 개선뿐만 아니라 잇몸 건강 개선에도 도움이 됩니다. 건강한 자연치아 부분을 최대한 보존하고, 젊어 보이는 앞니 보철치료로
활기찬 인생을 되찾으실 수 있습니다.
치아의 마모와 파절 때문에 내원한 50대 남성 환자. 오랜 세월 마모된 앞니로 인하여 미관상으로나 치아건강 상의 회복이 필요한 환자분 입니다.
고운미소에서는 치아건강과 심미적 개선을 위하여 앞니 보철치료와 함께 움푹 패인 부위는 레진으로 메우기로 하였습니다.
치료 후 심한 마모와 파절 된 부위의 치아 모양과 색이 개선되었습니다.
앞니 보철치료를 통하여 예전보다 가지런하고 건강한 치열과 치아가 젊어 지는 효과까지 얻으셨습니다.
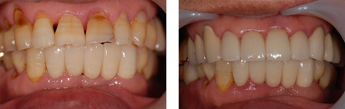
오래된 보철물이 보기 싫게 검게 변하여 내원한 40대 환자. 고운미소에서 치석과 기존 보철물을 제거하는 앞니 보철치료를 시행하였습니다.
치석제거와 앞니 보철치료 후 환자분은 치아의 심미적인 아름다움과 건강한 잇몸까지 되찾게 되었습니다.
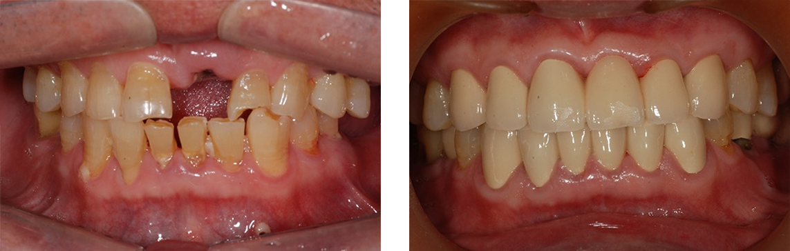
앞니가 상실되고 치주염이 있는 40대 여성환자. 고운미소에서 치주치료와 함께 앞니 보철치료를 시행하였습니다.
2회에 걸친 치주치료 후 건강한 잇몸에 앞니 보철치료를 하였습니다. 건강한 잇몸과 자연스러운 앞니 모양으로 환자분께서는 만족하셨습니다.
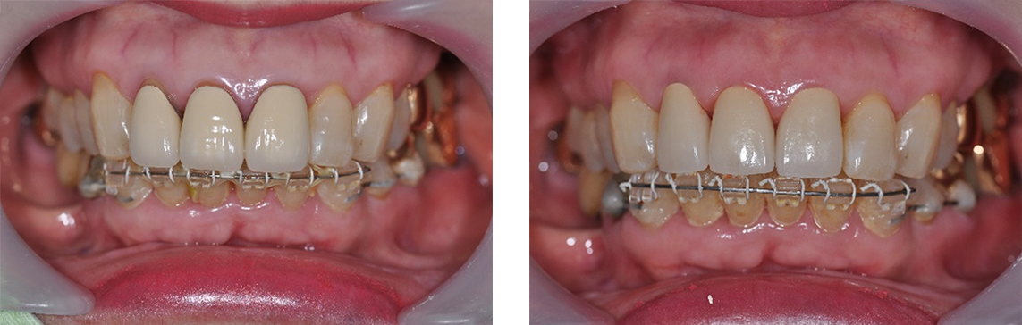
오래된 보철물이 보기 흉하고 아랫니도 가지런하지 않아 내원한 50대 환자. 고운미소에서 보철물 교체와 육전치교정(급속교정)치료를 시행하였습니다.
앞니 보철치료 완료 후 아랫니는 6개월만에 완성되는 육전치교정으로 앞니 나이를 아름답게 되돌리고 있습니다.
[ 구연발표 ]
[ 포스터발표 ]
[ 심포지움 참석 ]
