치아 기능의 회복은 물론 심미적인 부분까지 동시에 만족이 되어야 하는 시술이기 때문에 매우 섬세한 치료를
필요로 합니다. 뼈의 형태, 잇몸의 형태와 색조, 임플란트 보철의 모양과 투명감 등 크게 턱뼈, 잇몸, 보철 3가지 부분에서
기능적인 부분은 기본이며, 반드시 심미적인 조건에도 만족이 되어야 합니다.
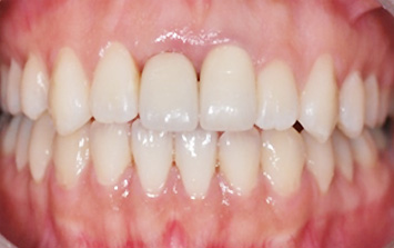
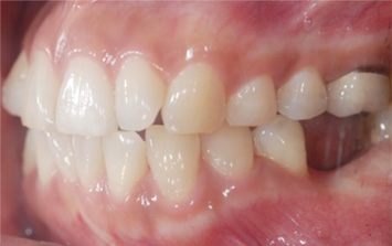
앞니 상실과 보철물 오염으로 내원한 환자분. 오른쪽 오염된 보철물로 인하여 잇몸이 올라간 상태, 치주치료와 올세라믹 치료를 하고
상실된 부위에 임플란트를 식립 하였습니다. 앞니의 경우 외모를 결정시키는 중요한 의미가 있기 때문에
자연치아와 구별 안될 정도로 자연스럽게 만들어 드렸습니다.



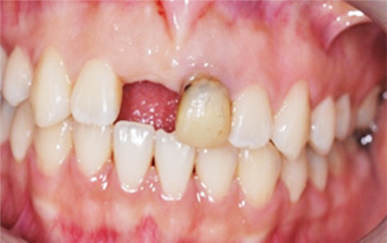
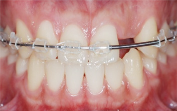
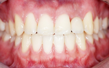
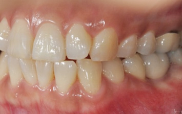
오른쪽 앞니 상실로 내원한 환자분. 앞니의 상실로 치아 사이 틈이 넓어지고 있어 교정으로 임플란트 식립 공간을 만든 후
임플란트 식립을 하였습니다. 앞니가 상실된 기간이 길어 교정치료를 하지 않고 임플란트를 식립할 경우
벌어진 치아 사이로 음식물이 끼거나 치아형태 이상으로 문제가 생길 수 있습니다.



어금니는 음식물 섭취 시 가장 필요로 하는 치아이므로 강한 충격에도 쉽게 손상되지 않아야 합니다.
다른 임플란트와 달리 기능적인 역할(저작기능)이 매우 중요합니다.
어금니 임플란트는 다른 임플란트와 달리 기능적 역할(저작기능)이 가장 중요합니다.
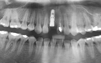
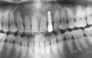
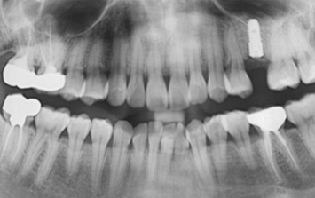
왼쪽 어금니 상실로 내원한 환자분. 위 턱뼈의 경우 아래턱뼈보다 얇고 상악동 있어 임플란트를 실패할 가능성이 높습니다.
턱뼈의 해부학적 구조를 충분히 고려한 상악동 뼈이식 후 임플란트를 식립하였습니다.



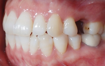
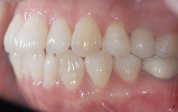
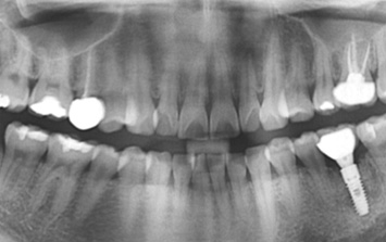
왼쪽 어금니 상실로 내원한 환자분. 어금니 임플란트의 경우 씹는 기능이 중요하기 때문에 저작능력 회복이 가장 중요합니다.
임플란트를 식립하고 강한 자극과 힘에 견딜 수 있도록 튼튼한 지르코니아 보철물로 수복하였습니다.



지르코니아는 인공 다이아몬드 재질로 강도가 우수합니다. 강한 교합력에 저항성이 강한 동시에 도자기의 심미적 장점을 함께 가져
어금니에 적합한 보철물 입니다.
[ 구연발표 ]
[ 포스터발표 ]
[ 심포지움 참석 ]
