치의학박사
문원규 대표원장
자연치아의 중요성
임플란트의 대중화로 치주염으로 치아가 몹시 흔들리거나 충치가 심해 뿌리까지 손상된 경우,
또는 갑작스럽게 치아가 빠진 경우 임플란트로 대체하는 병원이 많습니다.
그러나 임플란트가 아무리 발전했다고 해도 자연치아의 기능과 안전성에는 비교 할 수 없습니다.
연세고운미소에서는 “무조건 적인 임플란트 시술을 피하고” 치아를 살릴 수 있는 방법을 먼저 고민합니다.
임플란트의 대중화로 치주염으로 치아가 몹시 흔들리거나 충치가 심해 뿌리까지 손상된 경우,
또는 갑작스럽게 치아가 빠진 경우 임플란트로 대체하는 병원이 많습니다.
그러나 임플란트가 아무리 발전했다고 해도 자연치아의 기능과 안전성에는 비교 할 수 없습니다.
연세고운미소에서는 “무조건 적인 임플란트 시술을 피하고” 치아를 살릴 수 있는 방법을 먼저 고민합니다.
치주염은 성인 70%가 가지고 있는 정도로 흔한데 자각증세가 없이 진행되다 심해졌을 때 잇몸이 붓고 피가 나고 흔들리는 증세가 나타납니다.
적절한 시기에 치주치료를 하지 않으면 잇몸 뼈의 흡수로 인하여 방치하면 발치까지 이어지게 됩니다.
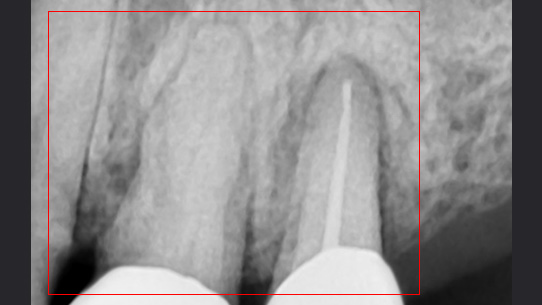
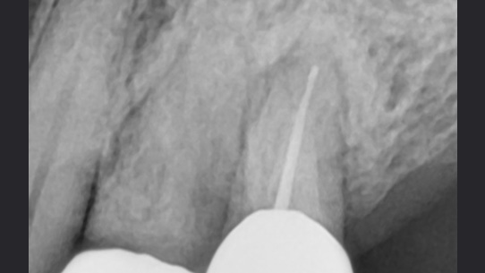
뿌리에 염증으로 흔들리는 치아
치주 치료로 재생된 건강한 잇몸
치주염은 잇몸의 뼈 부분까지 염증이 진행된 상태를 말합니다. 치석이 치주염 상태가 될 때까지, 즉, 치아 뿌리까지 들러붙어 내려가게 되면
치주인대가 소실되고 치조골까지 녹아 내리게 됩니다. 고운미소에서는 임플란트를 하기 전에 치주치료, 큐렛, 근관치료, 치근단 수술,
치아 재식술등의 다양한 치료로 치아를 최대한 살리려고 노력하고 있습니다.
치아보존 프로그램을 통하여 자연치아를 최대한 살린다면, 임플란트 식립 개수가 감소되어 경제적인 부담을 줄일 수 있습니다.
또한 발치를 하더라도 잇몸 속 뼈의 건강이 회복 되기 때문에 견고한 임플란트 수술이 가능합니다.
3D CT촬영
의료진 회의
환자 상황에 맞는
치료 계획
꼭 필요한 곳에만
임플란트 식립
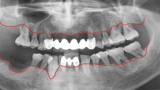
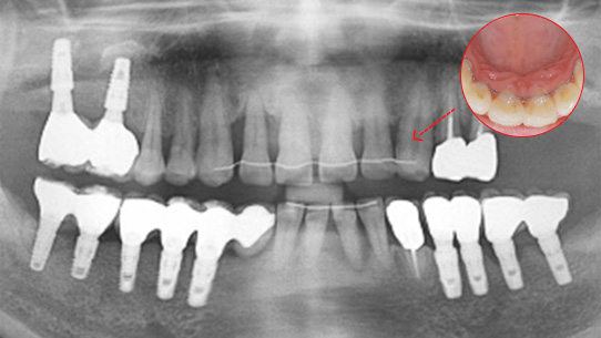
타 치과 에서 6개 치아를 발치하고 12개 임플란트 식립을 진단받고 내원. 고운미소에서 치주치료를 통하여
치아를 보존 시키고 6개의 임플란트 식립한케이스


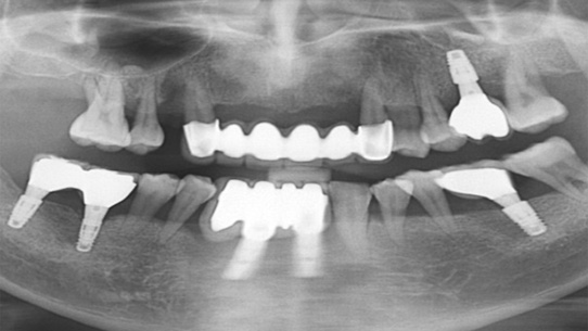
잇몸뼈가 녹아내려 다른 병원에서 임플란트 12개 진단을 받고 내원, 고운미소에서 치주치료를 시행한 결과 전치부 잇몸이 개선되어 발치 하지 않고
크라운으로 수복하였고, 어금니에 6개의 임플란트를 식립하였습니다.
잇몸 염증으로 치조골 손실이 많은 상태
잇몸건강이 회복된 앞니는 크라운으로 수복
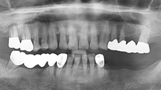
심한 염증과 기존 보철물의 오염상태가 심해 다른 병원에서 임플란트 17개 진단을 받고 내원, 특히 앞니부분의 치조골이 많이 약해져 흔들림이 심하여 바로
치주치료를 시행하였습니다. 치주치료 2주 후 앞니 잇몸이 개선되어 발치 하지 않고 교정 유지장치를 이용하여 흔들림을 보완하였습니다.
오염된 보철물을 제거하고 임플란트 11개를 식립하였습니다.
심한 염증으로 치아가 흔들리는 상태
앞니 흔들림을 보완하는 유지장치 부착
[ 구연발표 ]
[ 포스터발표 ]
[ 심포지움 참석 ]
