과거에 비해 현대인들에게서 부정교합의 비율이 증가한 것은 진화적 측면에서 그 원인을 찾을 수 있습니다.
가공되지 않아 질기고 딱딱한 음식을 섭취하던 과거와 달리 현대인의 식습관이 변화했으며, 그로 인해 질긴 음식을 주로 담당하던
치아가 퇴화하고 아래턱 크기가 감소하는 등의 변화가 나타났습니다. 이 결과로 매복치, 기형치, 과잉치, 맹출 장애 등
다양한 형태로 치아 맹출 이상이 나타납니다.
아이마다 그 증상이 나타나는 시점이 다르기 때문에 이상 증상이 관찰되는 경우 치과에 방문하여 상태를 확인하고,
적어도 1년에 한번씩은 방사선 사진 촬영을 포함한 검사를 진행하여 상담 후 적절한 시기에 교정 치료를 진행해 주시는 것이 바람직합니다.


유치 조기 상실의 경우 적절한 치료 시기를 놓친다면 영구치가 매복되거나 심한 덧니로 이어질 수 있는 만큼
세심한 관찰과 빠른 치료가 필요합니다.
가철식 장치를 통해 확보한 공간으로 작은 어금니가 정상적인 위치에 나올 수 있게 되었습니다. 영구치가 매복
되거나 심한 덧니가 발생하는 것을 예방할 수 있는 조기 치료로 고른 치열을 가질 수 있게 되었습니다.
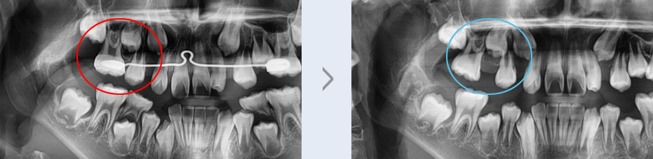
앞니가 고르지 않고 송곳니가 나지 않는 증상으로 내원한 12세 여학생입니다. 환자의 좌측 위 송곳니가 수평으로
매복되어 있었고 이로 인해 주변 치아 차이가 벌어진 상태였습니다. 발치를 하여 치료 기간을 줄이는 방법 대신,
자연치아를 유지할 수 있도록 간단한 수술을 통해 매복 치아에 치아교정 장치 부착하고 아래 쪽에는 교정용
스크류를 식립하여 치료를 진행하였습니다.

본래 송곳니가 있어야 할 자리로 매복된 송곳니를 이동시켰습니다. 그 결과 고르지 않았던 앞니가 가지런해졌으며
치아 사이에 공간이 생겼던 곳에 송곳니가 정상적으로 위치하게 되었습니다.
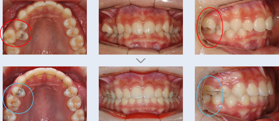
위 어금니가 바깥쪽으로 나 있어 식사 시 불편함을 호소한 13세 여학생입니다. 검진 결과 우측 위 어금니들이
정상적으로 나올 공간이 부족한 상태였으며 위 어금니가 아래 어금니와 닿지 않는 가위교합 증상을 확인했습니다.
또한 아래턱이 상대적으로 뒤쪽에 위치한 돌출입(골격성 2급 부정교합) 증상과 위/아래 앞니가 깊게 물리는
상태(과개교합) 등의 증상을 보여 이를 함께 개선하기 위해 양쪽 위 작은 어금니를 발치하고 치료를
진행하였습니다.

어금니가 정상적으로 자리를 잡지 못해 나타나던 불편함을 해소하였고 위/아래 전체 치아가 자연스럽게
맞물릴 수 있게 되었습니다.
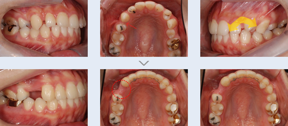
왼쪽 위 치아들의 모양과 위치가 정상적이지 않았고 치열이 대칭적이지 않아 교정 치료를 권유 받고 내원한
학생입니다. 좌측 위 송곳니와 작은 어금니의 위치가 바뀌어 있고 우측 작은 어금니가 결손되어 주위 치아들이
기울어져 있으며 틈새가 벌어져 있습니다. 고정식 교정 장치를 이용하여 치열을 고르게 하고 결손된 치아 공간을
재배치하였습니다.

비대칭 모양의 치열을 대칭 형태로 개선하였고 송곳니와 작은 어금니의 위치를 정상적으로 되돌렸습니다. 또한
결손된 치아 위치는 성인이 된 후 임플란트를 식립할 수 있도록 유지 관리하였습니다.
