
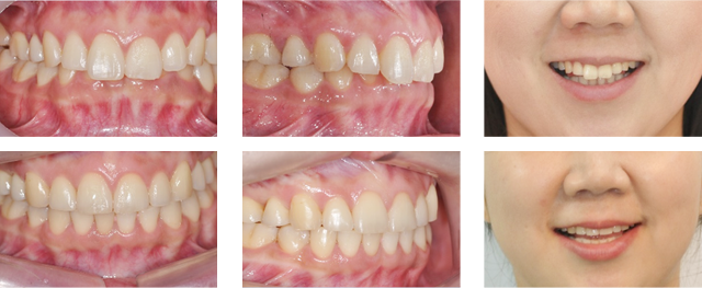
윗니가 아랫니를 과도하게 덮고 있는 과개교합 환자분. 과개교합의 경우 윗니가 아랫니에 가해지는 힘과 압력이 있어 턱 관절 및 근육 손상이 되기 때문에 반드시 교정치료가 필요합니다. 환자분의 경우도 아래 앞니 윗면이 닳아 있고 치아가 시린 상태. 클리피씨와 미니 스크류를 이용하여 위 치열 후방이동 하는 교정을 진행하였습니다.

위 치열 후방이동으로 앞니의 치아 물림이 개선되었고, 앞니의 시림 증상도 사라졌습니다. 과개교합의 경우 환자 스스로 눈치 채지 못하는 경우가 많고, 사각 턱 안모가 동반되는 경우가 많기 때문에 꼭 정밀 검사를 받아보는 것이 좋습니다.
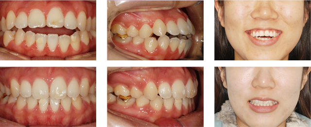
앞니가 정상적으로 물이지 않아 심미적인 문제와 음식물을 섭취할 때 상당한 불편함을 느껴 내원한 환자. 고운미소에서는 교정용 와이어와 미니스크류를 사용하여 치열의 수직적인 문제를 개선하는 치아교정을 시행하였습니다.

앞니가 서로 물리게 되어 음식물을 씹는 저작 문제와 심미적인 문제가 해결되어 교정을 완료하였습니다.

고운미소를 찾아주시는 분들의 입장에서 생각하고 진료하며 치료 후에는 함께 웃으며 친해 질수 있는 고운미소치과가 되겠습니다.