
가지런하고 아름다운 치아를 위한 고운미소 만의 노하우로 치아의 본래 기능을 최대한 살려 심미적, 기능적으로 우수한 치아를 만들 수 있습니다. 고운미소는 수준 높은 지식과 의술을 활용하여
자연치아를 최대한 보존하는 비발치, 비수술, 비보철 진료 원칙을 지키려고 노력합니다.

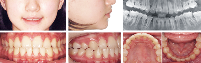
위 앞니가 고르지 않고 돌출되어 치료를 위해 내원한 청소년으로 진단 결과 발치/비발치 경계에 속하는 경우. 부모께서 가급적 이를 빼지 않길 원하셨고 아직 골격 성장이 완료되지 않은 것으로 판단되어 급속 구개 확장 장치(RPE)를 이용하여 발치를 하지 않고 공간을 확보하여 교정 치료를 진행하였습니다.

치료 결과 앞니 돌출이 개선되고 뻐드러짐 없이 가지런하고 잘 물리는 건강한 치열이 만들어짐. 초진에 비해 입도 약간 들어가 자연스러운 입술모양으로 교정이 완료 되었습니다.
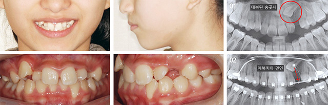
치열이 고르지 않고 좌측 송곳니가 나오지 않아 검진을 위해 내원한 학생. 방사선 사진 촬영 결과 인접 치아 뿌리 끝에 매복되어 있는 송곳니를 발견하였으며 발치를 고려하였으나 성장기 동안 앞니가 없이 지내야 하고 어린 나이에 적절한 보철 치료를 하기 어려워 치아를 살리는 계획을 수립. 구강외과 협진으로 수술을 통해 매복치아에 장치를 부착 후 견인 및 배열하였습니다.

총 2회에 걸친 구강외과와의 협진으로 매복된 송곳니에 장치 부착하여 제자리로 이동시켰습니다. 치료 결과 고르지 않던 치열이 자연스러운 형태로 교정이 완료 되었습니다.
앞니가 벌어져 있고 전방으로 뻐드러져 보여 개선을 위해 내원. 검진 결과 다수의 영구치가 결손 되어 있고 유치가 남아있으며 위턱에 비해 아래턱이 상대적으로 후방에 위치한 상태로 진단되어 Bionator를 이용한 1차 교정치료를 통해 아래턱의 위치를 개선시키고 2차 치열 교정를 통해 유치를 발치 하지 않고 함께 이동하여 종료하였습니다.



2단계로 나누어 진행한 치료이며 성장기 청소년의 골격 부조화를 가철식 장치를 이용하여 개선 후 치아의 정교한 이동을 위해 일반적인 브라켓 장치를 부착하여 배열하였습니다. 기준에 비해 후퇴되어 있던 아래턱의 위치가 전방 이동되었으며, 양호한 배열 상태와 교합 관계를 획득하였습니다.
덧니가 보기 좋지 않고 앞니끼리 물린다는 주소로 내원한 청소년. 진단 결과 위턱에 비해 아래턱의 성장 량이 더 나타나는 골격성 3급 부정교합이 확인되었고 성장 완료 후 악교정 수술을 고려할 수 있으나 사춘기 여학생임을 감안하여 이를 가지런히 하고 교합 관계를 개선시킨 후 주기적으로 관찰하는 계획을 세워 진행하였습니다.

좁아져 있는 악궁을 확장시켜 치아를 배열할 공간을 확보하고, 전방 위치된 아래턱으로 인해 어긋나 있는 교합 관계를 개선하기 위해 특수한 형태의 와이어(MEAW-Multiloop Edgewise Arch Wire)를 이용하여 치료하였습니다.
가지런하고 아름다운 치아를 위한 대표원장이 직접 진료하는 고운미소만의 노하우로 치아의 본래 기능을 최대한 살려 아름다운 치아를 만들어 드립니다.

고운미소를 찾아주시는 분들의 입장에서 생각하고 진료하며 치료 후에는 함께 웃으며 친해 질수 있는 고운미소치과가 되겠습니다.