
충치로 인해 치아 경조직의 손상이 있는 경우 치과용 재료로 치아를 충전하여 기능을 회복하는 치료입니다. 치아 표면에 남아있는 음식물 찌꺼기나 플라그 속 세균이 치아 표면을 부식시키고 그 형태나 기능이 정상적이지 않을 때 이를 회복 시켜 줍니다.
또한 치아 상태에 따라 신경치료를 함께 진행하기도 합니다.
레진은 치아 색이 나는 심미적인 수복물로 충치의 범위가 크지 않은 경우에 주로 사용됩니다. 충치를 제거하고 난 후 손실된 부위에 레진을 바로 메우는 방법으로 충치 면적이 크지 않은 경우 당일 치료가 가능합니다.
충치가 있는 치아
충치부위를 깨끗하게 제거
레진으로 충치치료
레진 치료는 치아의 부분 결손으로 인한 충치나 염증 등 구강상태에 대한 진단을 하고, 충치치료, 치주치료 등 필요한 보존치료를 안정적으로 한 후 레진 치료를 하는 것이 중요합니다.
넘어져 치아가 부러진 경우 레진으로 복원하여
본래 치아 모양과 기능을 회복
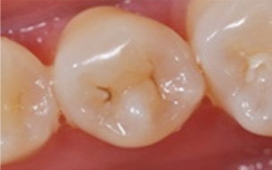
충치로 치아가 일부 손실된 경우 레진으로 복원하여
치아를 보존하였습니다.
치아가 파여 시린 경우 파인 부분을 레진으로 복원하여
시린이 치료가 가능합니다.
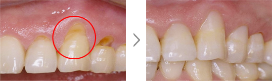
치아 뿌리부분에서 작은 구멍이 난 경우도
레진으로 복원이 가능합니다.
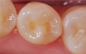
인레이는 충치 범위가 크고 눈에 띄는 부위의 치료에 적합합니다. 치아의 신경까지 침범하지 않는 경우이며, 신경치료 전 단계의 모든 충치치료에 적용이 가능합니다.
치아 내부 충치
충치 제거
인레이 치료
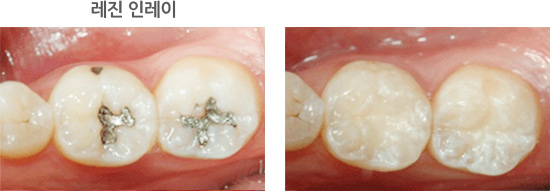
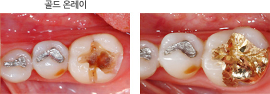
보철물을 수복하는 치료 범위에 따라 좁으면 인레이, 부위가 넓으면 온레이 치료라고 합니다. 충치가 발병하면 손실된 치아 공간을 금이나 레진으로 채워 남은 치아를 보호해주는 치료입니다.
자연치아의 색상과 유사하게 제작되는 레진 인레이, 기존의 아말감과
골드로 치료 받은 부위가 보이는걸 꺼려하는 분들에게 적합함.
씹는 힘이 강한 어금니 부위에 적합한 골드 인레이, 인체에 무해하며
부식이 없고 강도와 경도가 자연치와 유사
온레이는 치아에 따라 인레이로 치료하기에는 너무 손상이 심할 때,
치아의 최소 한쪽 면을 크라운처럼 덮는 치료 입니다.
