
치아 위치 이상이나 색의 부조화 정도가 심한 치아, 심한 충치로 인해 신경치료를 한 치아, 외상으로 인해 보철수복이 필요한 치아의 경우 선택하는 치료로, 기존의 불량 보철물이나 금속 도재관으로 치료 받은 앞니의 경우 잇몸과 보철물 경계부위에 검게 보이는 현상이 종종 발생하는데 이런 부분을 재치료 할 때 자연치아와 유사한 결과를 얻을 수 있습니다.
기존 불량 보철물 이상으로 내원한 40대 남성환자. 고운미소에서는 오염된 불량 보철물을 제거하고 기존의 PFM 보철물에 비하여 자연스러운 색조를 재현할 수 있고, 시간이 지나도 잇몸이 검게 변하는 현상이 거의 없는 올세라믹으로 치아를 수복하였습니다.
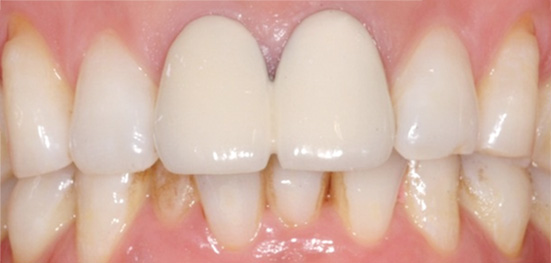
보철물이 오염된 상태
오염된 보철물 제거
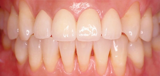
올세라믹으로 수복
오염된 보철물을 제거하고 잇몸치료 후 최대한 앞니의 심미성과 기능을 복원하여 최대한 자연스러워 보이도록 개선하였습니다.

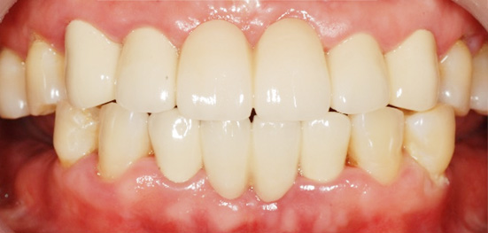
40대 여성환자로 기존 보철물의 색 변화를 올세라믹으로 교체하여 보다 자연스럽고 가지런한 치아모양이 되었습니다.


50대 남성환자로 치아의 마모 및 파절 때문에 내원하셨으며, 올세라믹을 통해 보다 자연스러운 치아모양을 얻으셨습니다.


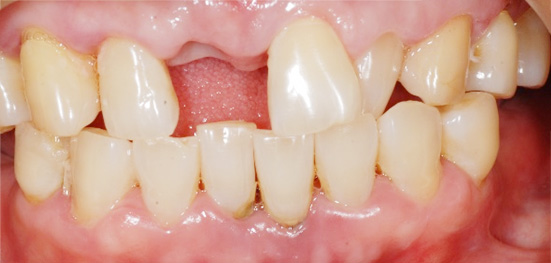
앞니 상실과 치주염으로 내원하신 40대 남성환자. 전체적인 치주치료와
함께 올세라믹으로 앞니를 수복하였습니다. 건강한 잇몸과
자연스러운 앞니 모양으로 만족하셨습니다.



반갑습니다. 언제나 한결같이 과장되지 않은 치의학을 바탕으로 고객중심의 치료와 상의를 드리는 여러분의 가족이 되겠습니다. 고운미소치과의 인연에 감사드리며, 크리닉을 넘어 삶에 있어 의미있는 관계가 되도록 항상 노력하겠습니다. 감사합니다.
[ 구연발표 ]
[ 포스터발표 ]
[ 심포지움 참석 ]