
전체 임플란트는 치아가 하나도 남지 않은 상태를 회복하는 임플란트 치료방법입니다. 큰 수술인 만큼 시술 난이도가 높아 숙련된 의료진의 노하우가 중요합니다.
전체 임플란트를 식립하는 분들 다수는 고령자입니다. 그래서 고운미소치과는 고혈압과 당뇨와 같은 만성질환 환자의 경우 환자 개개인의 건강과 치아 상태를 고려한 안정적인 임플란트 시술을 진행하고 있습니다.
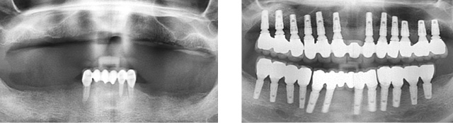
상악틀니를 사용 중 저작력이 약한 환자분. 대학병원에서 전체 임플란트를 받으시려 했으나 비용 문제로 고운미소로 내원하셨습니다. 당뇨수치가 있어 내과와 연계하여 식생활 조절과, 운동, 인슐린 치료를 병행하여 충분한 혈당관리를 하고 임플란트 수술을 시행하였습니다.

임플란트를 지지하기 위한 뼈의 상태가 좋지 않아, 상악동 뼈 이식과 함께 총 24개의 임플란트를 식립하였습니다. 전체 임플란트가 완성된 이후에도 내과와 지속적인 연계로 전신건강이 회복될 수 있게 노력해야 합니다.
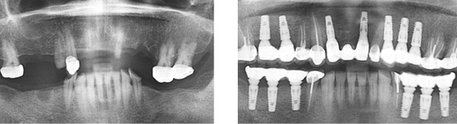
오래된 브릿지가 떨어지고 치아 결손이 심한 상태로 내원한 고혈압 환자분. 혈압이 정상 수치보다 높아 내과와 연계하여 혈압을 90~140 사이로 조절하여 총 13개의 임플란트를 식립 하였습니다.

고혈압의 경우 복용하시는 약이나 혈압, 혈당수치로 인하여 지혈이 어렵거나 면역력이 약해져 있어 수술 시 의료진의 노하우와 내과진료 연계가 가장 중요한 부분입니다.
치아상실 상태가 오래 되어 적절한 영양섭취가 힘들어 “영양부족”으로 내원한 환자분. 우선 영양섭취를 위하여 음식물을 씹을 수 있는 임시치아를 빠르게 만들어 드렸습니다. 건강상태가 회복되어 상악은 12개의 임플란트를 식립 하고, 하악의 경우 잇몸 뼈가 많이 소실되어 2개의 임플란트를 식립하고 임플란트 틀니를 장착하였습니다.



반갑습니다. 언제나 한결같이 과장되지 않은 치의학을 바탕으로 고객중심의 치료와 상의를 드리는 여러분의 가족이 되겠습니다. 고운미소치과의 인연에 감사드리며, 크리닉을 넘어 삶에 있어 의미있는 관계가 되도록 항상 노력하겠습니다. 감사합니다.
[ 구연발표 ]
[ 포스터발표 ]
[ 심포지움 참석 ]