
“자신 있고 아름다운 미소의 완성” 치아 미백은 치아의 색을 원래의 색으로 회복시키거나, 더 하얗게 만들어주는 치료이며, 치아 삭제가 필요 없는 치아 보존적인 가장 안전한 방법입니다. 깨끗한 이미지, 하얀 치아를 드러낸 자신감 있는 미소, 하얀 치아를 통한 동안 이미지를 얻을 수 있습니다.
새 하얀 치아는 인상을 좋게 하는 효과가 있습니다. 외부 미팅이 많은 사회인, 결혼을 앞두고 있는 예비부부, 누런 이 컴플랙스를 가지신 분들께 효과적인 치료입니다. 치아가 밝아지면 동시에 안색이 환해지는 효과와 더불어 3~5년 어린 외모를 만들 수 있습니다.
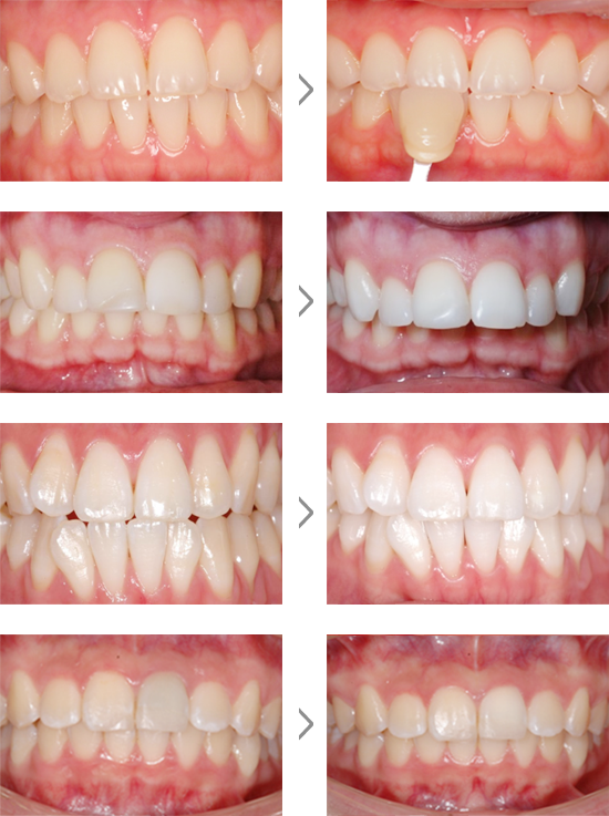
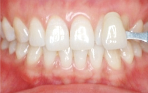
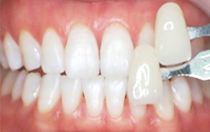
01치아색 확인
02미백전 스케일링
03입술보호제 도포
04잇몸보호제 도포
05미백제 도포
미백 광선(3회 반복)
06치아색 확인
전문가 미백은 치과에서 시술하는 방법으로 의료진에 의해
미백약제의 농도와 도포시간을 조절하고 특수 광선으로
약제를 활성화 시키는 방법 입니다. 15~20분 정도의 시간이 소요되며 1~3회 정도의 시술이 필요합니다.

치아가 외부적으로 강한 충격을 받아 신경이 죽은 경우, 이가 검게 보이는 현상이 발생합니다. 이처럼 변색된 치아는 신경치료 후, 치아 속에 약제를 넣어 치아 색을 주변치아처럼 되돌려주는 방법입니다.

고운미소에서 사용하는 TRINITY WHITE SYSTEM 치아 미백제 주성분인 과산화수소가 15%로 고농도로 농축된 미백제 입니다. 흔히 과산화수소 농도가 높으면 치아 손상이 쉽게 될 수 있다고 하지만, TRINITY WHITE GEL의 경우 지각 과민반응을 최소화 시킵니다.

현재 ZOOM2 제품은 공식 수입이 중단된 상태이기 때문에 TRINITY WHITE SYSTEM은 국내 치아미백 제품 중 유일하게 식품의약품안정처(FDA) 허가를 취득한 제품입니다.
자가미백은 치과의사의 지도하에 집에서 하는 미백방법입니다. 전문가 미백에 비해 저농도의 미백제를 사용하여, 개인 맞춤형 미백틀에 미백제를 고르게 분포시켜 수면시간에 착용하는 치아미백 치료방법입니다.

변색의 정도가 심한 경우 전문가 미백과 더불어 시행하면 더 높은 효과를 기대할 수 있습니다.